A broken ankle is also known as an ankle "fracture." This means that one or more of the bones that make up the ankle joint are broken.
A fractured ankle can range from a simple break in one bone, which may not stop you from walking, to several fractures, which forces your ankle out of place and may require that you not put weight on it for a few months.
Simply put, the more bones that are broken, the more unstable the ankle becomes. There may be ligaments damaged as well. The ligaments of the ankle hold the ankle bones and joint in position.
Broken ankles affect people of all ages. During the past 30 to 40 years, doctors have noted an increase in the number and severity of broken ankles, due in part to an active, older population of "baby boomers."
AnatomyThree bones make up the ankle joint:
The tibia and fibula have specific parts that make up the ankle:
Doctors classify ankle fractures according to the area of bone that is broken. For example, a fracture at the end of the fibula is called a lateral malleolus fracture, or if both the tibia and fibula are broken, it is called a bimalleolar fracture.
Two joints are involved in ankle fractures:
Multiple ligaments help make the ankle joint stable.
CauseBecause a severe ankle sprain can feel the same as a broken ankle, every ankle injury should be evaluated by a physician.
Common symptoms for a broken ankle include:
After discussing your medical history, symptoms, and how the injury occurred, your doctor will do a careful examination of your ankle, foot, and lower leg.
If your doctor suspects an ankle fracture, he or she will order additional tests to provide more information about your injury.
X-rays. X-rays are the most common and widely available diagnostic imaging technique. X-rays can show if the bone is broken and whether there is displacement (the gap between broken bones). They can also show how many pieces of broken bone there are. X-rays may be taken of the leg, ankle, and foot to make sure nothing else is injured.
Stress test. Depending on the type of ankle fracture, the doctor may put pressure on the ankle and take a special x-ray, called a stress test. This x-ray is done to see if certain ankle fractures require surgery.
Computed tomography (CT) scan. This type of scan can create a cross-section image of the ankle and is sometimes done to further evaluate the ankle injury. It is especially useful when the fracture extends into the ankle joint.
Magnetic resonance imaging (MRI) scan. These tests provide high resolution images of both bones and soft tissues, like ligaments. For some ankle fractures, an MRI scan may be done to evaluate the ankle ligaments.
Treatment: Lateral Malleolus FractureA lateral malleolus fracture is a fracture of the fibula.
There are different levels at which that the fibula can be fractured. The level of the fracture may direct the treatment.
You may not require surgery if your ankle is stable, meaning the broken bone is not out of place or just barely out of place. A stress x-ray may be done to see if the ankle is stable. The type of treatment required may also be based on where the bone is broken.
Several different methods are used for protecting the fracture while it heals. ranging from a high-top tennis shoe to a short leg cast. Some physicians let patients put weight on their leg right away, while others have them wait for 6 weeks.
You will see your physician regularly to repeat your ankle x-rays to make sure the fragments of your fracture have not moved out of place during the healing process.
If the fracture is out of place or your ankle is unstable, your fracture may be treated with surgery. During this type of procedure, the bone fragments are first repositioned (reduced) into their normal alignment. They are held together with special screws and metal plates attached to the outer surface of the bone. In some cases, a screw or rod inside the bone may be used to keep the bone fragments together while they heal.
Treatment: Medial Malleolus FractureA medial malleolus fracture is a break in the tibia, at the inside of the lower leg. Fractures can occur at different levels of the medial malleolus.
Medial malleolar fractures often occur with a fracture of the fibula (lateral malleolus), a fracture of the back of the tibia (posterior malleolus), or with an injury to the ankle ligaments.
If the fracture is not out of place or is a very low fracture with very small pieces, it can be treated without surgery.
A stress x-ray may be done to see if the fracture and ankle are stable.
The fracture may be treated with a short leg cast or a removable brace. Usually, you need to avoid putting weight on your leg for approximately 6 weeks.
You will need to see your physician regularly for repeat x-rays to make sure the fracture does not change in position.
In some cases, surgery may be considered even if the fracture is not out of place. This is done to reduce the risk of the fracture not healing (called a nonunion), and to allow you to start moving the ankle earlier.
A medial malleolus fracture can include impaction or indenting of the ankle joint. Impaction occurs when a force is so great it drives the end of one bone into another one. Repairing an impacted fracture may require bone grafting. This graft acts as a scaffolding for new bone to grow on, and may lower any later risk of developing arthritis.
Depending on the fracture, the bone fragments may be fixed using screws, a plate and screws, or different wiring techniques.
Treatment: Posterior Malleolus FractureA posterior malleolus fracture is a fracture of the back of the tibia at the level of the ankle joint.
In most cases of posterior malleolus fracture, the lateral malleolus (fibula) is also broken. This is because it shares ligament attachments with the posterior malleolus. There can also be a fracture of the medial malleolus.
Depending on how large the broken piece is, the back of the ankle may be unstable. Some studies have shown that if the piece is bigger than 25% of the ankle joint, the ankle becomes unstable and should be treated with surgery.
It is important for a posterior malleolus fracture to be diagnosed and treated properly because of the risk for developing arthritis. The back of the tibia where the bone breaks is covered with cartilage. Cartilage is the smooth surface that lines a joint. If the broken piece of bone is larger than about 25% of your ankle, and is out of place more than a couple of millimeters, the cartilage surface will not heal properly and the surface of the joint will not be smooth. This uneven surface typically leads to increased and uneven pressure on the joint surface, which leads to cartilage damage and the development of arthritis.
If the fracture is not out place and the ankle is stable, it can be treated without surgery.
Treatment may be with a short leg cast or a removable brace. Patients are typically advised not to put any weight on the ankle for 6 weeks.
If the fracture is out of place or if the ankle is unstable, surgery may be offered.
Different surgical options are available for treating posterior malleolar fractures. One option is to have screws placed from the front of the ankle to the back, or vice versa. Another option is to have a plate and screws placed along the back of the shin bone.
Treatment: Bimalleolar Fractures or Bimalleolar Equivalent Fractures"Bi" means two. "Bimalleolar" means that two of the three parts or malleoli of the ankle are broken. (Malleoli is plural for malleolus.)
In most cases of bimalleolar fracture, the lateral malleolus and the medial malleolus are broken and the ankle is not stable.
A "bimalleolar equivalent" fracture means that in addition to one of the malleoli being fractured, the ligaments on the inside (medial) side of the ankle are injured. Usually, this means that the fibula is broken along with injury to the medial ligaments, making the ankle unstable.
A stress test x-ray may be done to see whether the medial ligaments are injured.
Bimalleolar fractures or bimalleolar equivalent fractures are unstable fractures and can be associated with a dislocation.
These injuries are considered unstable and surgery is usually recommended.
Nonsurgical treatment might be considered if you have significant health problems, where the risk of surgery may be too great, or if you usually do not walk.
Immediate treatment typically includes a splint to immobilize the ankle until the swelling goes down. A short leg cast is then applied. Casts may be changed frequently as the swelling subsides in the ankle.
You will need to see your physician regularly to repeat your x-rays to make sure your ankle remains stable.
In most cases, Weightbearing is not be allowed for 6 weeks. After 6 weeks, the ankle may be protected by a removable brace as it continues to heal.
Surgical treatment is often recommended because these fractures make the ankle unstable.
Lateral and medial malleolus fractures are treated with the same surgical techniques as written above for each fracture listed.
Treatment: Trimalleolar Fractures"Tri" means three. Trimalleolar fractures means that all three malleoli of the ankle are broken. These are unstable injuries and they can be associated with a dislocation.
These injuries are considered unstable and surgery is usually recommended.
As with bimalleolar ankle fractures, nonsurgical treatment might be considered if you have significant health problems, where the risk of surgery may be too great, or if you usually do not walk.
Nonsurgical treatment is similar to bimalleolar fractures, as described above.
Each fracture can be treated with the same surgical techniques as written above for each individual fracture.
Treatment: Syndesmotic InjuryThe syndesmosis joint is located between the tibia and fibula, and is held together by ligaments. A syndesmotic injury may be just to the ligament -- this is also known as high ankle sprain. Depending on how unstable the ankle is, these injuries can be treated without surgery. However, these sprains take longer to heal than the normal ankle sprain.
In many cases, a syndesmotic injury includes both a ligament sprain and one or more fractures. These are unstable injuries and they do very poorly without surgical treatment.
Your physician may do a stress test x-ray to see whether the syndesmosis is injured.
Because there is such a wide range of injuries, there is also a wide range of how people heal after their injury.
It takes at least 6 weeks for the broken bones to heal. It may take longer for the involved ligaments and tendons to heal.
As mentioned above, your doctor will most likely monitor the bone healing with repeated x-rays. This is typically done more often during the first 6 weeks if surgery is not chosen.
Although most people return to normal daily activities, except for sports, within 3 to 4 months, studies have shown that people can still be recovering up to 2 years after their ankle fractures. It may take several months for you to stop limping while you walk, and before you can return to sports at your previous competitive level. Most people return to driving within 9 to 12 weeks from the time they were injured.
Rehabilitation is very important regardless of how an ankle fracture is treated.
When your physician allows you to start moving your ankle, physical therapy and home exercise programs are very important. Doing your exercises regularly is key.
Eventually, you will also start doing strengthening exercises. It may take several months for the muscles around your ankle to get strong enough for you to walk without a limp and to return to your regular activities.
Again, exercises only make a difference if you actually do them.
Your specific fracture determines when you can start putting weight on your ankle. Your physician will allow you to start putting weight on your ankle when he or she feels your injury is stable enough to do so.
It is very important to not put weight on your ankle until your physician says you can. If you put weight on the injured ankle too early, the fracture fragments may move or your surgery may fail and you may have to start over.
It is very common to have several different kinds of things to wear on the injured ankle, depending on the injury.
Initially, most ankle fractures are placed in a splint to protect your ankle and allow for the swelling to go down. After that, you may be put into a cast or removable brace.
Even after the fracture has healed, your physician may recommend wearing an ankle brace for several months while you are doing sporting activities.
ComplicationsPeople who smoke, have diabetes, or are elderly are at a higher risk for complications after surgery, including problems with wound healing. This is because it may take longer for their bones to heal.
Without surgery, there is a risk that the fracture will move out of place before it heals. This is why it is important to follow up with your physician as scheduled.
If the fracture fragments do move out of place and the bones heal in that position, it is called a "malunion." Treatment for this is determined by how far out of place the bones are and how the stability of the ankle joint is affected.
If a malunion does occur or if your ankle becomes unstable after it heals, this can eventually lead to arthritis in your ankle.
General surgical risks include:
Risks from the surgical treatment of ankle fractures include
If you found this article helpful, you may also be interested in Care of Casts and Splints.
Source: http://orthoinfo.aaos.org/topic.cfm?topic=A00391
Anatomy of the ankle
Reproduced and adapted with permission from J Bernstein, ed: Musculoskeletal Medicine. Rosemont, IL, American Academy of Orthopaedic Surgeons, 2003.
Different levels of lateral malleolus fractures
Reproduced with permission from Michelson JD: Ankle Fractures Resulting From Rotational Injuries J Am Acad Ortho Surg 2003;11:403-412.
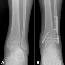
(Left) X-ray of a medial malleolus fracture. (Right) Surgical repair of a medial malleolus fracture with a plate and screws.
If the fracture is out of place or the ankle is unstable, surgery may be recommended.
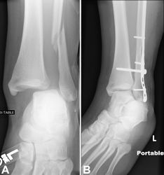
(Left) X-ray of bimalleolar ankle fracture. (Right)Surgical repair bimalleolar ankle fracture
(Left) X-ray of trimalleolar ankle fracture. (Right) Surgical repair.
(Left) X-ray of syndesmotic injury with lateral malleolus fracture. Note the space between the tibia and fibula. (Right) Surgical repair.
Outcome