Lisfranc (midfoot) injuries result if bones in the midfoot are broken or ligaments that support the midfoot are torn. The severity of the injury can vary from simple to complex, involving many joints and bones in the midfoot.
A Lisfranc injury is often mistaken for a simple sprain, especially if the injury is a result of a straightforward twist and fall. However, injury to the Lisfranc joint is not a simple sprain that should be simply "walked off." It is a severe injury that may take many months to heal and may require surgery to treat.
AnatomyThe midfoot is the middle region of the foot, where a cluster of small bones forms an arch on the top of the foot. From this cluster, five long bones (metatarsals) extend to the toes. The bones are held in place by connective tissues (ligaments) that stretch both across and down the foot. However, there is no connective tissue holding the first metatarsal to the second metatarsal. A twisting fall can break or shift (dislocate) these bones out of place.
The midfoot is critical in stabilizing the arch and in walking (gait). During walking, the midfoot transfers the forces generated by the calf muscles to the front of the foot.
The midfoot joint complex is also called the Lisfranc joint. It is named after French surgeon Jacques Lisfranc de St. Martin, who served in the Napoleonic army in the 1800s.
The Lisfranc joint complex has a specialized bony and ligamentous structure, providing stability to this joint.
DescriptionThe midfoot will be affected if the bones are broken (fractured) or the ligaments are torn (ruptured). Injuries can vary, from a simple injury that affects only a single joint to a complex injury that disrupts multiple different joints and includes multiple fractures.
Lisfranc injuries tend to damage the cartilage of the midfoot joints. Cartilage covers the ends of bones in the joints, allowing the joints to move smoothly. If severe midfoot injuries are not treated with surgery, then damage to the cartilage and increased stress at the midfoot joints will result in both flatfoot and arthritis, which require complex surgery to correct. Even with successful surgery for the Lisfranc injury, arthritis can still develop in later life.
CauseThese injuries can happen with a simple twist and fall. This is a low-energy injury. It is commonly seen in football and soccer players. It is often seen when someone stumbles over the top of a foot flexed downwards.
More severe injuries occur from direct trauma, such as a fall from a height. These high-energy injuries can result in multiple fractures and dislocations of the joints.
SymptomsThe most common symptoms of Lisfranc injury include:
If standard treatment for a sprain (rest, ice, elevation) does not relieve pain and swelling, you should seek care from an orthopaedic surgeon.
Doctor ExaminationAfter talking with you about your symptoms and discussing your concerns, your doctor will examine your foot and ankle. Although some of the physical tests the doctor will perform may be painful, none of them will make the injury worse.
Specific things your doctor will look for include:
Other tests that the doctor may order to help confirm your diagnosis include:
X-rays. Broken bones (fractures) and the position of the bones can be seen in an x-ray picture. An x-ray also can show the alignment of the Lisfranc joint. Any change in the normal joint may suggest injury to the ligaments.
If the injury happened after a simple twist and fall (a low-energy injury), the doctor may ask that an x-ray be taken with the patient standing. In this case, the doctor is looking for a ligament injury, especially if the bones are not expected to be broken. Injuries will not be made worse from a standing (weightbearing) x-ray, nor will an injury that might be treated without surgery progress to need surgery if this test is done. The doctor sometimes may take x-rays of your uninjured foot, either for comparison or to determine the stability of the joint.
Magnetic resonance imaging (MRI) scan. These studies can create better images of soft tissues like the tendons. This test is not required to diagnose a Lisfranc injury. It may be ordered in cases where the diagnosis may be in doubt.
Computerized tomography scan (CT ) scan. These scans are more detailed than x-rays and can create cross-section images of the foot. This test is not required to diagnose a Lisfranc injury. Because a CT scan will help evaluate the exact extent of the injury and the number of joints that have been injured, a surgeon may order this test to help plan surgery.
TreatmentTreatment for a Lisfranc injury depends on how severe the injury is.
If there are no fractures or dislocations in the joint and the ligaments are not completely torn, nonsurgical treatment may be all that is necessary for healing. A nonsurgical treatment plan includes wearing a non-weightbearing cast for 6 weeks. You must be very strict about not putting weight on your injured foot during this period. This then progresses to weightbearing in a removable cast boot or an orthotic.
Your doctor will want to follow up with you regularly and take additional x-rays to make sure your foot is healing well. In the course of follow up, if there is any evidence that the bones in the injured joint have moved, then surgery will be needed to put the bones back in place.
Surgery is recommended for all injuries with a fracture in the joints of the midfoot or with abnormal positioning (subluxation) of the joints. The goal of surgical treatment is to realign the joints and return the broken (fractured) bone fragments to a normal position.
Internal fixation. In this procedure, the bones are positioned correctly (reduced) and held in place with plates or screws. Because the plates or screws will be placed across joints that normally have some motion, some or all of this hardware may be removed at a later date. This can vary from 3 to 5 months after surgery, and is at the surgeon's discretion.
Occasionally, the hardware may break before it is removed. This is not unusual when screws or plates span bones that have some movement. Metal can fatigue and fail under these conditions, just as a paperclip will fail if bent repeatedly. Most often surgery is successful even if some of the hardware fails.
Fusion. If the injury is severe and has damage that cannot be repaired, fusion may be recommended as the initial surgical procedure. A fusion is essentially a "welding" process. The basic idea is to fuse together the damaged bones so that they heal into a single, solid piece.
Lisfranc injuries that may require fusion include joints that cannot be repaired with screws or plates or when the ligaments are severely ruptured. The hardware will not need to be removed because the joints are fused and will not move after they heal.
Rehabilitation. After either surgery (reduction or fusion), a period of nonweightbearing for 6 to 8 weeks is recommended in a cast or cast boot. Weightbearing is started while the patient is in the boot if the x-rays look appropriate after 6 to 8 weeks. The amount of weight a patient can put on their foot, as well as the distance the patient is allowed to walk, is at the surgeon's discretion. Impact activities, such as running and jumping, should be avoided until the hardware has been removed.
RecoverySome athletes never return to their pre-injury levels of sport after these injuries. Despite excellent surgical reduction and fixation, arthritis may occur from the damage to the cartilage. This may result in chronic pain and may require fusion in the future.
If you found this article helpful, you may also be interested in Arthritis of the Foot and Ankle.
Source: http://orthoinfo.aaos.org/topic.cfm?topic=A00162
The Lisfranc joint complex includes the bones and ligaments that connect the midfoot and forefoot. Lisfranc injuries include ligament strains and tears, as well as fractures and dislocations of bone (far right).
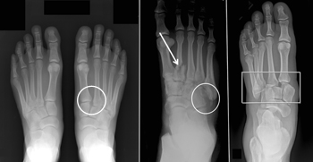
(Left) This is a subtle injury to the midfoot with widening between the first and second metatarsals (circle), compared with the normal foot on the left. (Center) This x-ray shows a fracture of the second metatarsal (arrow) and a fracture of the cuboid (circle). (Right) This shows a very severe injury of the foot from a high-energy event. It has resulted in a complete dislocation of the entire midfoot (box). Because no bones have been broken, a fusion may be recommended, given the high risk for future arthritis.
The discoloration on the bottom of the foot is very suggestive of a Lisfranc injury.
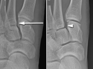
(Left) In this non-weightbearing x-ray, the Lisfranc injury does not show any abnormal widening (arrow). (Right) The tear of the Lisfranc ligament is more evident in this weightbearing stress x-ray, showing a widening of the joint.
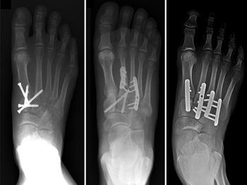
Various methods of internal fixation can be used to fix Lisfranc injuries. (Left) Multiple screws can be used. (Center) A combination of plates and screws are sometimes required when fractures are present in addition to a torn ligament. (Right) Plates that span the joints are also an excellent method of fixation.