Rheumatoid arthritis is a chronic disease that attacks multiple joints throughout the body. It most often starts in the small joints of the hands and feet, and usually affects the same joints on both sides of the body.
More than 90% of people with rheumatoid arthritis (RA) develop symptoms in the foot and ankle over the course of the disease.
DescriptionRheumatoid arthritis is an autoimmune disease. This means that the immune system attacks its own tissues. In RA, the defenses that protect the body from infection instead damage normal tissue (such as cartilage and ligaments) and soften bone.
The joints of your body are covered with a lining — called synovium — that lubricates the joint and makes it easier to move. Rheumatoid arthritis causes an overactivity of this lining. It swells and becomes inflamed, destroying the joint, as well as the ligaments and other tissues that support it. Weakened ligaments can cause joint deformities — such as claw toe or hammer toe. Softening of the bone (osteopenia) can result in stress fractures and collapse of bone.
Rheumatoid arthritis is not an isolated disease of the bones and joints. It affects tissues throughout the body, causing damage to the blood vessels, nerves, and tendons. Deformities of the hands and feet are the more obvious signs of RA. In about 20% of patients, foot and ankle symptoms are the first signs of the disease.
Rheumatoid arthritis affects approximately 1% of the population. Women are affected more often than men, with a ratio of up to 3 to 1. Symptoms most commonly develop between the ages of 40 and 60.
CauseThe exact cause of RA is not known. There may be a genetic reason — some people may be more likely to develop the disease because of family heredity. However, doctors suspect that it takes a chemical or environmental "trigger" to activate the disease in people who genetically inherit RA.
SymptomsThe most common symptoms are pain, swelling, and stiffness. Unlike osteoarthritis, which typically affects one specific joint, symptoms of RA usually appear in both feet, affecting the same joints on each foot.
Difficulty with inclines (ramps) and stairs are the early signs of ankle involvement. As the disease progresses, simple walking and standing can become painful.
The main function of the hindfoot is to perform the side-to-side motion of the foot. Difficulty walking on uneven ground, grass, or gravel are the initial signs. Pain is common just beneath the fibula (the smaller lower leg bone) on the outside of the foot.
As the disease progresses, the alignment of the foot may shift as the bones move out of their normal positions. This can result in a flatfoot deformity. Pain and discomfort may be felt along the posterior tibial tendon (main tendon that supports the arch) on the inside of the ankle, or on the outside of the ankle beneath the fibula.
With RA, the ligaments that support the midfoot become weakened and the arch collapses. With loss of the arch, the foot commonly collapses and the front of the foot points outward. RA also damages the cartilage, causing arthritic pain that is present with or without shoes. Over time, the shape of the foot can change because the structures that support it degenerate. This can create a large bony prominence (bump) on the arch. All of these changes in the shape of the foot can make it very difficult to wear shoes.
The changes that occur to the front of the foot are unique to patients with RA. These problems include bunions, claw toes, and pain under the ball of the foot (metatarsalgia). Although, each individual deformity is common, it is the combination of deformities that compounds the problem.
The bunion is typically severe and the big toe commonly crosses over the second toe.
There can also be very painful bumps on the ball of the foot, creating calluses. The bumps develop when bones in the middle of the foot (midfoot) are pushed down from joint dislocations in the toes. The dislocations of the lesser toes (toes two through five) cause them to become very prominent on the top of the foot. This creates clawtoes and makes it very difficult to wear shoes. In severe situations, ulcers can form from the abnormal pressure.
After listening to your symptoms and discussing your general health and medical history, your doctor will examine your foot and ankle.
Skin. The location of callouses indicate areas of abnormal pressure on the foot. The most common location is on the ball of the foot (the underside of the forefoot). If the middle of the foot is involved, there may be a large prominence on the inside and bottom of the foot. This can cause callouses.
Foot shape. Your doctor will look for specific deformities, such as bunions, claw toes, and flat feet.
Flexibility. In the early stages of RA, the joints will typically still have movement. As arthritis progresses and there is a total loss of cartilage, the joints become very stiff. Whether there is motion within the joints will influence treatment options.
Tenderness to pressure. Although applying pressure to an already sensitive foot can be very uncomfortable, it is critical that your doctor identify the areas of the foot and ankle that are causing the pain. By applying gentle pressure at specific joints your doctor can determine which joints have symptoms and need treatment. The areas on the x-ray that look abnormal are not always the same ones that are causing the pain.
Other tests that your doctor may order to help confirm your diagnosis include:
X-rays. This test creates images of dense structures, like bone. It will show your doctor the position of the bones. The x-rays can be used by your doctor to make measurements of the alignment of the bones and joint spaces, which will help your doctor determine what surgery would best.
Computerized tomography (CT) scan. When the deformity is severe, the shape of the foot can be abnormal enough to make it difficult to determine which joints have been affected and the extent of the disease. CT scans allow your doctor to more closely examine each joint for the presence of arthritis.
Magnetic resonance imaging (MRI) scan. An MRI scan will show the soft tissues, including the ligaments and tendons. Your doctor can assess whether the tendon is inflamed (tendonitis) or torn (ruptured).
Your doctor may refer you to a rheumatologist if he or she suspects RA. Although your symptoms and the results from a physical examination and tests may be consistent with RA, a rheumatologist will be able to determine the specific diagnosis. There are other less common types of inflammatory arthritis that will be considered.
Nonsurgical TreatmentAlthough there is no cure for RA, there are many treatment options available to help people manage pain, stay active, and live fulfilling lives.
Rheumatoid arthritis is often treated by a team of healthcare professionals. These professionals may include rheumatologists, physical and occupational therapists, social workers, rehabilitation specialists, and orthopaedic surgeons.
Although orthopaedic treatment may relieve symptoms, it will not stop the progression of the disease. Specific medicines called disease-modifying anti-rheumatic drugs are designed to stop the immune system from destroying the joints. The appropriate use of these medications is directed by a rheumatologist.
Orthopaedic treatment of RA depends on the location of the pain and the extent of cartilage damage. Many patients will have some symptom relief with appropriate nonsurgical treatment.
Limiting or stopping activities that make the pain worse is the first step in minimizing the pain. Biking, elliptical training machines, or swimming are exercise activities that allow patients to maintain their health without placing a large impact load on the foot.
Placing ice on the most painful area of the foot for 20 minutes is effective. This can be done 3 or 4 times a day. Ice application is best done right after you are done with a physical activity. Do not apply ice directly to your skin.
Drugs, such as ibuprofen or naproxen, reduce pain and inflammation. In patients with RA, the use of these types of medications should be reviewed with your rheumatologist or medical doctor.
An orthotic (shoe insert) is a very effective tool to minimize the pressure from prominent bones in the foot. The orthotic will not be able to correct the shape of your foot. The primary goal is to minimize the pressure and decrease the pain and callous formation. This is more effective for deformity in the front and middle of the foot.
For people with RA, hard or rigid orthotics generally cause too much pressure on the bone prominences, creating more pain. A custom orthotic is generally made of softer material and relieves pressure on the foot.
A lace-up ankle brace can be an effective treatment for mild to moderate pain in the back of the foot and the ankle. The brace supports the joints of the back of the foot and ankle. In patients with a severe flatfoot or a very stiff arthritic ankle, a custom-molded plastic or leather brace is needed. The brace can be a very effective device for some patients, allowing them to avoid surgery.
An injection of cortisone into the affected joint can help in the early stages of the disease. In many cases, a rheumatologist or medical doctor may also perform these injections. The steroid helps to reduce inflammation within the joint. The steroid injection is normally a temporary measure and will not stop the progression of the disease.
Surgical TreatmentYour doctor may recommend surgery depending upon the extent of cartilage damage and your response to nonsurgical options.
Fusion. Fusion of the affected joints is the most common type of surgery performed for RA. Fusion takes the two bones that form a joint and fuses them together to make one bone.
During the surgery, the joints are exposed and the remaining cartilage is removed. The two bones are then held together with screws or a combination of screws and plates. This prevents the bones from moving. During the healing process, the body grows new bone between the bones in these joints.
Because the joint is no longer intact, this surgery does limit joint motion. Limited joint motion may not be felt by the patient, depending on the joints fused. The midfoot joints often do not have much motion to begin with, and fusing them does not create increased stiffness. The ankle joint normally does have a lot of motion, and fusing it will be noticeable to the patient. By limiting motion, fusion reduces the pain.
Fusion can be a successful technique. However, because patients with RA also show damaged cartilage and loose ligaments, the success rate of this type of surgery is lower in patients with RA than in patients without RA. The use of newer generation medication can slow the progression of the disease and impact the type of surgeries that can be performed successfully.
Other surgeries. The front of the foot is where there are more surgical options for some patients. Surgeons can now perform joint sparing operations to correct the bunion and hammertoes in some patients. Your surgeon will review the most appropriate options for your case.
Ankle fusion and total ankle replacement are the two primary surgical options for treating RA of the ankle. Both treatment options can be successful in minimizing the pain and discomfort in the ankle. The appropriate surgery is based upon multiple factors and is individualized for every patient.
Patients with severe involvement of other joints around the heel or patients who have previously undergone a fusion on the other leg, may be more suited for ankle replacement. In addition, patients who have fusions within the same foot may be more suited for an ankle replacement.
Newer generation ankle replacement implants have shown promising early results. Ankle replacement implants have not yet been shown to be as long-lasting as those for the hip or knee, due to the fact that the newer generation of implants have not been available long enough to determine how long they will last.
Following ankle fusion, there is a loss of the up and down motion of the ankle. The up and down motion is transferred to the joints near the ankle. This creates a potential for pain in those joints, and possibly arthritis.
Patients are able to walk in shoes on flat, level ground without much difficulty after an ankle fusion, despite the loss of ankle motion. The joints in the foot next to the ankle joint allow for motion similar to the ankle joint, and help patients with fused ankle joints walk more normally.
A fusion of the affected joints of the hindfoot is the most common surgery used to treat patients with flatfoot or arthritis of the hindfoot. A triple arthrodesis is a fusion that involves all three joints in the back of the foot. Occasionally, the joint on the outside of the foot is not fused if there is minimal to no involvement of that joint (this is at the surgeon's discretion). This type of fusion eliminates the side-to-side motion of the foot, while preserving most of the up and down movement.
If RA is only in one joint, then a fusion of just that affected joint may be all that is needed.
Any fusion of the hindfoot will limit side-to-side motion of the foot. This will affect walking on uneven ground, grass, or gravel. There is no method to replace the joints of the hindfoot.
Fusion is the most reliable surgical method to treat RA of the midfoot joints. If the shape of the foot is not normal, surgery is designed to help restore the arch and minimize the prominences on the foot.
There are joint replacement implants available for joints on the outside of the midfoot. This may preserve some midfoot motion. However, the use of these implants is at the surgeon's discretion. These implants are not available for the joints on the inside of the midfoot.
Although the foot cannot be returned to a normal shape, the goals are to reduce pain in the foot and improve the potential for the patient to wear more normal shoes.
The choice of treatment for patients with a bunion or lesser toe deformities (hammer or claw toes) depends on a number of factors.
If the disease is very mild, joint-sparing procedures that preserve motion can be considered. The decision is dependent on the medication that the patient is taking and the amount of damaged cartilage that is present. A fusion of the great toe may be recommended despite that fact the bunion is very mild. If there is damage to the cartilage of the great toe joint, correcting the bunion will not minimize the arthritic pain.
If the RA has progressed and the lesser toes (two through five) have dislocated, a complex operation to minimize the pain and restore the shape of the foot may be recommended. The operation involves fusion of the big toe and removing a portion of bone of each of the metatarsals. This surgery removes the prominent bone on the bottom of the foot that is a source of the pain and allows the toes to re-align into a better position.
Occasionally, the lesser toe metatarsals can be preserved by shortening them to allow the toes to resume their position within the joints. This is not always possible, however, and the joint may have to be removed.
To fix the bend in the toes themselves, the surgeon may suggest cutting a tendon or removing a small portion of bone of the toes to allow them to straighten. Pins that stick out of the foot are temporarily required and will be removed in the office after healing takes place.
There are some newer implants available that can be buried within the toes, which avoid the need for pins sticking out of the foot. These implants may not work if the bone is soft, or if significant destruction of the joints has occurred.
This operation puts a lot of stress on the blood vessels and skin of the foot. In severe cases, the toes may not survive the operation and may require amputation of a portion or the entire toe. This operation can provide the patient with a high level of function and the ability to enjoy a wider variety of shoewear.
Many of the medications that help with RA also affect the ability of the body to heal wounds and fight infection. Your surgeon will work with your rheumatologist or medical doctor to review which of your medications will need to be stopped prior to surgery. Once the wounds are healed, the medication is typically resumed.
This period of time can be very difficult for patients with other areas of the body that are affected by RA. Many fusions require at least 6 weeks of time where no pressure can be placed on the foot. Making appropriate preparations to ensure you have help at home is crucial for success after surgery.
Source: http://orthoinfo.aaos.org/topic.cfm?topic=A00163
In RA, the lining of the joint swells and becomes inflamed. This slowly destroys the joint.
Reproduced with permission from The Body Almanac. © American Academy of Orthopaedic Surgeons, 2003.
Anatomy of the foot and ankle.
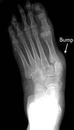
This x-ray shows signs of RA of the midfoot. Note that the front of the foot points outward and there is a large bump on the inside and bottom of the foot.
People with RA can experience a combination of common foot problems, such as bunions and clawtoe.
Severe claw toes can become fixed and rigid. They do not move when in a shoe. The extra pressure from the top of the shoe can cause severe pain and can damage the skin.
Doctor Examination
A custom-molded leather brace can be effective in minimizing the pain and discomfort from ankle and hindfoot arthritis.
The patient shown in these x-rays had arthritis of the hindfoot. It was treated by fusing all three joints of the hindfoot (triple fusion). An ankle replacement was also done in order to improve mobility and avoid the severe stiffness that would result from another ankle fusion. The ankle replacement implants can be seen here from the front and the side.
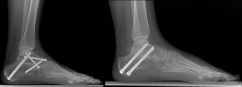
These x-rays show an ankle fusion from the front and the side. The number and placement of screws and the use of a plate are dependent upon the surgeon's technique.
Over time, the increased stress that is placed on the rest of the foot after an ankle fusion can lead to arthritis of the joints surrounding the ankle. This patient had pain in the subtalar joint (arrow) and required an additional fusion of that joint to minimize the pain. Increased stress on other joints is the most concerning problem following ankle fusion.
(Left) In this x-ray, two of the three joints in the hindfoot have been fused. (Right) Just the subtalar joint is fused in this x-ray.
(Top) This x-ray shows RA of the midfoot that has collapsed the arch.(Bottom) The surgical reconstruction involved a fusion of the middle of the foot with plates and screws.
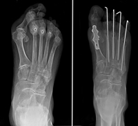
(Left) RA of the forefoot. The big toe is deviated and crosses over the second toe, a typical appearance of a bunion. The lesser toes (two through five) are dislocated, resulting in painful and severe claw toes. (Right) This x-ray taken immediately after fusion of the big toe shows that the prominent bones on the ball of the foot were removed and the claw toes were corrected. The pins hold the toes in place while the soft tissues heal. The pins are removed in the office after 4 to 6 weeks with minimal discomfort.
Reconstruction of the foot does not mean that a patient will be required to wear bulky and unappealing shoes every day. The patient shown here had both feet reconstructed. She is able to wear sandals and mild heels without difficulty. Although these types of shoes are not recommended all the time, they can be worn from time to time. Not all patients will achieve such an excellent result.