An ankle sprain occurs when the strong ligaments that support the ankle stretch beyond their limits and tear. Ankle sprains are common injuries that occur among people of all ages. They range from mild to severe, depending upon how much damage there is to the ligaments.
Most sprains are minor injuries that heal with home treatments like rest and applying ice. However, if your ankle is very swollen and painful to walk on — or if you are having trouble putting weight on your ankle at all, be sure to see your doctor.
Without proper treatment and rehabilitation, a more severe sprain can weaken your ankle—making it more likely that you will injure it again. Repeated ankle sprains can lead to long-term problems, including chronic ankle pain, arthritis, and ongoing instability.
Ligaments are strong, fibrous tissues that connect bones to other bones. The ligaments in the ankle help to keep the bones in proper position and stabilize the joint.
Most sprained ankles occur in the lateral ligaments on the outside of the ankle. Sprains can range from tiny tears in the fibers that make up the ligament to complete tears through the tissue.
If there is a complete tear of the ligaments, the ankle may become unstable after the initial injury phase passes. Over time, this instability can result in damage to the bones and cartilage of the ankle joint.
Your foot can twist unexpectedly during many different activities, such as:
A sprained ankle is painful. Other symptoms may include:
If there is severe tearing of the ligaments, you might also hear or feel a "pop" when the sprain occurs. Symptoms of a severe sprain are similar to those of a broken bone and require prompt medical evaluation.
Doctor ExaminationYour doctor will diagnose your ankle sprain by performing a careful examination of your foot and ankle. This physical exam may be painful.
If there is no broken bone, your doctor may be able to tell the severity of your ankle sprain based upon the amount of swelling, pain, and bruising.
X-rays. X-rays provide images of dense structures, such as bone. Your doctor may order x-rays to rule out a broken bone in your ankle or foot. A broken bone can cause similar symptoms of pain and swelling.
Stress x-rays. In addition to plain x-rays, your doctor may also order stress x-rays. These scans are taken while the ankle is being pushed in different directions. Stress x-rays help to show whether the ankle is moving abnormally because of injured ligaments.
Magnetic resonance imaging (MRI) scan. Your doctor may order an MRI if he or she suspects a very severe injury to the ligaments, damage to the cartilage or bone of the joint surface, a small bone chip, or another problem. The MRI may not be ordered until after the period of swelling and bruising resolves.
Ultrasound. This imaging scan allows your doctor to observe the ligament directly while he or she moves your ankle. This helps your doctor to determine how much stability the ligament provides.
Grades of Ankle SprainsAfter the examination, your doctor will determine the grade of your sprain to help develop a treatment plan. Sprains are graded based on how much damage has occurred to the ligaments.
Almost all ankle sprains can be treated without surgery. Even a complete ligament tear can heal without surgical repair if it is immobilized appropriately.
A three-phase program guides treatment for all ankle sprains—from mild to severe:
This three-phase treatment program may take just 2 weeks to complete for minor sprains, or up to 6 to 12 weeks for more severe injuries.
For milder sprains, your doctor may recommend simple home treatment.
The RICE protocol. Follow the RICE protocol as soon as possible after your injury:
Medication. Nonsteroidal anti-inflammatory drugs (NSAIDs) such as ibuprofen and naproxen can help control pain and swelling. Because they improve function by both reducing swelling and controlling pain, they are a better option for mild sprains than narcotic pain medicines.
Some sprains will require treatment in addition to the RICE protocol and medications.
Crutches. In most cases, swelling and pain will last from 2 to 3 days. Walking may be difficult during this time and your doctor may recommend that you use crutches as needed.
Immobilization. During the early phase of healing, it is important to support your ankle and protect it from sudden movements. For a Grade 2 sprain, a removable plastic device such as a cast-boot or air stirrup-type brace can provide support. Grade 3 sprains may require a short leg cast or cast-brace for 2 to 3 weeks.
Your doctor may encourage you to put some weight on your ankle while it is protected. This can help with healing.
Physical therapy. Rehabilitation exercises are used to prevent stiffness, increase ankle strength, and prevent chronic ankle problems.
Surgical treatment for ankle sprains is rare. Surgery is reserved for injuries that fail to respond to nonsurgical treatment, and for patients who experience persistent ankle instability after months of rehabilitation and nonsurgical treatment.
Surgical options may include:
Immobilization. There is typically a period of immobilization following surgery for an ankle sprain. Your doctor may apply a cast or protective boot to protect the repaired or reconstructed ligament. Be sure to follow your doctor's instructions about how long to wear the protective device; if you remove it too soon, a simple misstep can re-tear the fixed ligament.
Rehabilitation. Rehabilitation after surgery involves time and attention to restore strength and range of motion so you can return to pre-injury function. The length of time you can expect to spend recovering depends upon the extent of injury and the amount of surgery that was done. Rehabilitation may take from weeks to months.
OutcomesOutcomes for ankle sprains are generally quite good. With proper treatment, most patients are able to resume their day-to-day activities after a period of time.
Most importantly, successful outcomes are dependent upon patient commitment to rehabilitation exercises. Incomplete rehabilitation is the most common cause of chronic ankle instability after a sprain. If a patient stops doing the strengthening exercises, the injured ligament(s) will weaken and put the patient at risk for continued ankle sprains.
Once you have sprained your ankle, you may continue to sprain it if the ligaments do not have time to completely heal. It can be hard for patients to tell if a sprain has healed because even an ankle with a chronic tear can be highly functional because overlying tendons help with stability and motion.
If pain continues for more than 4 to 6 weeks, you may have a chronic ankle sprain. Activities that tend to make an already sprained ankle worse include stepping on uneven surfaces and participating in sports that require cutting actions or rolling and twisting of the foot.
Abnormal proprioception—a common complication of ankle sprains—can also lead to repeat sprains. There may be imbalance and muscle weakness that causes a reinjury. If you sprain your ankle over and over again, a chronic situation may persist with instability, a sense of the ankle giving way, and chronic pain. This can also happen if you return to work, sports, or other activities before your ankle heals and is rehabilitated.
PreventionThe best way to prevent ankle sprains is to maintain good muscle strength, balance, and flexibility. The following precautions will help prevent sprains:
If you found this article helpful, you may also be interested in Athletic Shoes.
Source: http://orthoinfo.aaos.org/topic.cfm?topic=A00150
An ankle sprain is an injury to one or more of the ligaments that stabilize the ankle.
Reproduced from J Bernstein, ed: Musculoskeletal Medicine. Rosemont, IL, American Academy of Orthopaedic Surgeons, 2003.
Description
A twisting force to the lower leg or foot can cause a sprain. The lateral ligaments on the outside of the ankle are injured most frequently.
Reproduced from the Body Almanac @ American Academy of Orthopaedic Surgeons, 2003.
Cause
Bruising and swelling are common signs of a sprained ankle.
To diagnose a sprain, your doctor will gently palpate around the outside of the ankle in the area of the pain (arrow).
Reproduced from JF Sarwark, ed: Essentials of Musculoskeletal Care, ed 4. Rosemont, IL, American Academy of Orthopaedic Surgeons, 2010.
In a Grade 2 sprain, some but not all of the ligament fibers are torn. Moderate swelling and bruising above and below the ankle joint are common.
Treatment
An air stirrup-type ankle brace.
Reproduced from JF Sarwark, ed: Essentials of Musculoskeletal Care, ed 4. Rosemont, IL, American Academy of Orthopaedic Surgeons, 2010.
Once you are pain-free, resistance exercises may be added to your therapy program.
Reproduced from JF Sarwark, ed: Essentials of Musculoskeletal Care, ed 4. Rosemont, IL, American Academy of Orthopaedic Surgeons, 2010.
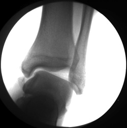
This x-ray shows extreme instability of the ankle.
Espinosa N, Bluman EM: Lateral Ankle Ligament Reconstruction Using Allograft, in Flatow E, Colvin AC, eds: Atlas of Essential Orthopaedic Procedures. Rosemont, IL, American Academy of Orthopaedic Surgeons, 2013, pp 349-355.