The hand and wrist have multiple small joints that work together to produce motion, including the fine motion needed to thread a needle or tie a shoelace. When the joints are affected by arthritis, activities of daily living can be difficult. Arthritis can occur in many areas of the hand and wrist and can have more than one cause.
Over time, if the arthritis is not treated, the bones that make up the joint can lose their normal shape. This causes more pain and further limits motion.
DescriptionSimply defined, arthritis is inflammation of one or more of your joints. The most common types of arthritis are osteoarthritis and rheumatoid arthritis, but there are more than 100 different forms.
Healthy joints move easily because of a smooth, slippery tissue called articular cartilage. Cartilage covers the ends of bones and provides a smooth gliding surface for the joint. This smooth surface is lubricated by a fluid that looks and feels like oil. It is produced by the joint lining called synovium.
When arthritis occurs due to disease, the onset of symptoms is gradual and the cartilage decreases slowly. The two most common forms of arthritis from disease are osteoarthritis and rheumatoid arthritis.
Osteoarthritis is much more common and generally affects older people. Also known as "wear and tear" arthritis, osteoarthritis causes cartilage to wear away. It appears in a predictable pattern in certain joints.
Rheumatoid arthritis is a chronic disease that can affect many parts of your body. It causes the joint lining (synovium) to swell, which causes pain and stiffness in the joint. Rheumatoid arthritis most often starts in the small joints of the hands and feet. It usually affects the same joints on both sides of the body.
Fractures, particularly those that damage the joint surface, and dislocations are among the most common injuries that lead to arthritis. Even when properly treated, an injured joint is more likely to become arthritic over time.
Early symptoms of arthritis of the hand include joint pain that may feel "dull," or a "burning" sensation. The pain often occurs after periods of increased joint use, such as heavy gripping or grasping. The pain may not be present immediately, but may show up hours later or even the following day. Morning pain and stiffness are typical.
As the cartilage wears away and there is less material to provide shock absorption, the symptoms occur more frequently. In advanced disease, the joint pain may wake you up at night.
Pain might be made worse with use and relieved by rest. Many people with arthritis complain of increased joint pain with rainy weather. Activities that once were easy, such as opening a jar or starting the car, become difficult due to pain. To prevent pain at the arthritic joint, you might change the way you use your hand.
In patients with advanced thumb base arthritis, the neighboring joints may become more mobile than normal.
The arthritic joint may feel warm to touch. This is due to the body's inflammatory response.
There may be a sensation of grating or grinding in the affected joint (crepitation). This is caused by damaged cartilage surfaces rubbing against one another. If arthritis is due to damaged ligaments, the support structures of the joint may be unstable or "loose." In advanced cases, the joint may appear larger than normal (hypertrophic). This is usually due to a combination of bone changes, loss of cartilage, and joint swelling.
Arthritis does not have to result in a painful or sedentary life. It is important to seek help early so that treatment can begin and you can return to doing what matters most to you.
Treatment options for arthritis of the hand and wrist include medication, splinting, injections, and surgery, and are determined based on:
Medications
Medications treat symptoms but cannot restore joint cartilage or reverse joint damage. The most common medications for arthritis are anti-inflammatories, which stop the body from producing chemicals that cause joint swelling and pain. Examples of anti-inflammatory drugs include medications such as acetaminophen and ibuprofen.
Glucosamine and chondroitin are widely advertised dietary supplements or "neutraceuticals." Neutraceuticals are not drugs. Rather, they are compounds that are the "building blocks" of cartilage. They were originally used by veterinarians to treat arthritic hips in dogs. However, neutraceuticals have not yet been studied as a treatment of hand and wrist arthritis. (Note: The U.S. Food and Drug Administration does not test dietary supplements. These compounds may cause negative interactions with other medications. Always consult your doctor before taking dietary supplements.)
Injections
When first-line treatment with anti-inflammatory medication is not appropriate, injections may be used. These typically contain a long-lasting anesthetic and a steroid that can provide pain relief for weeks to months. The injections can be repeated, but only a limited number of times, due to possible side effects, such as lightening of the skin, weakening of the tendons and ligaments and infection.
Splinting
Injections are usually combined with splinting of the affected joint. The splint helps support the affected joint to ease the stress placed on it from frequent use and activities. Splints are typically worn during periods when the joints hurt. They should be small enough to allow functional use of the hand when they are worn. Wearing the splint for too long can lead to muscle deterioration (atrophy). Muscles can assist in stabilizing injured joints, so atrophy should be prevented.
If nonsurgical treatment fails to give relief, surgery is usually discussed. There are many surgical options. The chosen course of surgical treatment should be one that has a reasonable chance of providing long-term pain relief and return to function. It should be tailored to your individual needs.
When the damage has progressed to a point that the surfaces will no longer work, a joint replacement or a fusion (arthrodesis) is performed.
The goal of joint replacement is to provide pain relief and restore function. As with hip and knee replacements, there have been significant improvements in joint replacements in the hand and wrist. The replacement joints are made of materials similar to those used in weightbearing joints, such as ceramics or long-wearing metal and plastic parts. The goal is to improve the function and longevity of the replaced joint.
Most of the major joints of hand and wrist can be replaced. A surgeon often needs additional training to perform the surgery. As with any evolving technology, the long-term results of the hand or wrist joint replacements are not yet known. Early results have been promising. Talk with your doctor to find out if these implants are right for you.
After SurgeryAfter any type of joint reconstruction surgery, there is a period of recovery. Often, you will be referred to a trained hand therapist, who can help you maximize your recovery. You may need to use a postoperative splint or cast for awhile after surgery. This helps protect the hand while it heals.
During this postoperative period, you may need to modify activities to allow the joint reconstruction to heal properly. Typically, pain medication you take by mouth is also used to reduce discomfort. It is important to discuss your pain with your doctor so it can be adequately treated.
Length of recovery time varies widely and depends on the extent of the surgery performed and multiple individual factors. However, people usually can return to most if not all of their desired activities in about three months after most major joint reconstructions.
New DevelopmentsIncreasingly, doctors are focusing on how to preserve the damaged joint. This includes getting an earlier diagnosis and repairing joint components before the entire surface becomes damaged.
Arthroscopy of the small joints of the hand and wrist is now possible because the equipment has been made much smaller.
There have been encouraging results in cartilage repair and replacement in the larger joints such as the knee, and some of these techniques have been applied to the smaller joints of the hand and arm.
In addition, stem cell research may be an option to regenerate damaged joint surfaces.
If you found this article helpful, you may also be interested in Managing Arthritis Pain with Exercise.
Source : http://orthoinfo.aaos.org/topic.cfm?topic=A00224
Fractures within the finger joints.
Symptoms
Thumb extension deformity. This patient has lost mobility at the base of the thumb due to arthritis. The next joint closer to the tip of the thumb has become more mobile than normal to make up for the arthritic joint. Normally, the thumb does not come to a right angle with the rest of the hand.
When the affected joint is subject to greater stress than it can bear, it may swell in an attempt to prevent further joint use.
Mucous cyst of the index finger.
When arthritis affects the end joints of the fingers (DIP joints), small cysts (mucous cysts) may develop. The cysts may then cause ridging or dents in the nail plate of the affected finger.
Doctor Examination
Bone scans of the hands. The darker color is indication of arthritis.
A doctor can diagnose arthritis of the hand by examining the hand and by taking x-rays. Specialized studies, such as magnetic resonance imaging (MRI), are usually not needed except in cases where Keinbock's disease (a condition where the blood supply to one of the small bones in the wrist, the lunate, is interrupted) is suspected. Sometimes a bone scan is helpful. A bone scan may help the doctor diagnose arthritis when it is in an early stage, even if x-rays look normal.
Treatment
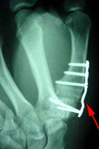
A joint fusion using a plate and screws at the base of the thumb.
If there is any way the joint can be preserved or reconstructed, this option is usually chosen.
An example of a finger joint prosthesis used in joint replacement surgery.
Joint fusions provide pain relief but stop joint motion. The fused joint no longer moves; the damaged joint surfaces are gone, so they cannot cause pain and other symptoms.