Hand Fractures
Fractures of the hand can occur in either the small bones of the fingers (phalanges) or the long bones (metacarpals). They can result from a twisting injury, a fall, a crush injury, or direct contact in sports.
Symptoms
![]()
This X-ray shows a fracture in the middle of one of the bones of the finger.
Reproduced with permission from Kozin SH, Thoder JJ, Lieberman G: Operative Treatment of Metacarpal and Phalangeal Shaft Fractures. J Am Acad Orthop Surg 2000;8:111-121.
Signs and symptoms of a broken bone in the hand include:
- Swelling
- Tenderness
- Deformity
- Inability to move the finger
- Shortened finger
- Finger crosses over its neighbor when making a partial fist
- Depressed knuckle
A depressed knuckle is often seen in a "boxer's fracture." This is a fracture of the fifth metacarpal, the long bone below the little finger.
Diagnosis
A physical examination is done to check the position of the fingers and the condition of the skin. The examination may include some range of motion tests and an assessment of feeling in the fingers. This will ensure that there is no damage to the nerves. X-rays identify the location and extent of the fracture.
Treatment
Nonsurgical Treatment
Most of the time, the bones can be realigned by manipulating them without surgery. A cast, splint or fracture-brace is applied to immobilize the bones and hold them in place. The cast will probably extend from the fingertips down past the wrist almost to the elbow. This ensures that the bones remain fixed in place.
A second set of X-rays will probably be needed about a week later. These X-rays are used to ensure that the bones have remained in the proper position.
The cast will be worn for three to six weeks. Gentle hand exercises can probably be started after three weeks. Afterward, the finger may be slightly shorter, but this should not affect the ability to use the hand and fingers.
Surgical Treatment
![]()
Metacarpal fracture of ring finger and surgical repair.
Reproduced with permission from Kozin SH, Thoder JJ, Lieberman G: Operative Treatment of Metacarpal and Phalangeal Shaft Fractures. J Am Acad Orthop Surg 2000;8:111-121.
Some hand fractures require surgery to stabilize and align the bones. These fractures usually break through the skin or result from a crushing accident. An orthopaedic surgeon can implant wires, screws, or plates in the broken bone to hold the pieces of the fractured bone in place.
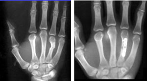
![]()
Fractures are seen in the phalanges of two fingers (left). The image on the right shows how the fractures are repaired with screws.
Reproduced with permission from Kozin SH, Thoder JJ, Lieberman G: Operative Treatment of Metacarpal and Phalangeal Shaft Fractures. J Am Acad Orthop Surg 2000;8:111-121.
If the bone changes position while healing, the finger may lose some function.
![]()
One of the bones in the ring finger rotated abnormally during the healing process. When the finger is closed over the palm, the finger rotates but when the fingers are extended, the finger appears straight.
Reproduced with permission from Kozin SH, Thoder JJ, Lieberman G: Operative Treatment of Metacarpal and Phalangeal Shaft Fractures. J Am Acad Orthop Surg 2000;8:111-121.
After the bone has healed, the surgeon may remove the implants or may leave them in place.
The physician may want to examine the hand periodically to ensure that the joint doesn't tighten (contract) during healing.
Joint stiffness may be experienced because of the long immobilization period. Exercises can help restore strength and range of motion. A physical therapist may be able to help with this.
Last reviewed: October 2007
Co-developed with the American Society for Surgery of the Hand
Source: http://orthoinfo.aaos.org/topic.cfm?topic=A00010
Our Location
2800 Tamarack Avenue
Suite 106
South Windsor, CT 06074
Office Number: (860) 644-5900
New Patients: (860) 383-7571
Fax: (860) 644-5978