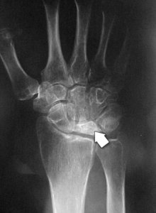
Kienböck's disease is a condition where the blood supply to one of the small bones in the wrist, the lunate, is interrupted.
Bone is living tissue that requires a regular supply of blood for nourishment. If the blood supply to a bone stops, the bone can die. This is called osteonecrosis.
Damage to the lunate causes a painful, stiff wrist and, over time, can lead to arthritis.
The cause of Kienböck's disease is not known. Many people with Kienböck's disease think they have a sprained wrist at first. They may have experienced some form of trauma to the wrist, such as a fall. This type of trauma can disrupt the blood flow to the lunate.
Some things may put you more at risk for the disease. For example, most people have two vessels that supply blood to the lunate, but in some people there is only one source. This may slow the blood flow to the bone. In addition, if the two bones of the forearm (the radius and ulna) are different lengths, extra pressure can be put on the lunate during some wrist motions. Over time, this extra stress on the bone may lead to Kienböck's disease.
SymptomsThe most common symptoms of Kienböck's disease include:
Kienböck's disease is a condition that progresses slowly, and many people do not decide to see a doctor until they have lived with symptoms for several months, perhaps longer.
During your first appointment, your doctor will discuss your symptoms and medical history, then examine your hand and wrist. In its early stages, Kienböck's disease may be difficult for your doctor to diagnose because the symptoms are so similar to those of a sprained wrist. Imaging tests, such as x-rays and magnetic resonance imaging (MRI) scans, are used to confirm a diagnosis of Kienböck's disease.
Kienböck's disease progresses through four stages of severity. If you are diagnosed with Kienböck's disease, your doctor will plan your treatment based on several factors, most importantly, the stage of your progression.
During the first stage of the disease, the symptoms are similar to those of a wrist sprain. Although the blood supply to the lunate has been disrupted, x-rays may still appear normal or suggest a possible fracture. An MRI scan can better detect blood flow and is helpful in making the diagnosis in this early stage.
The lunate bone begins to harden due to the lack of blood supply during Stage 2. This hardening process is called sclerosis. In addition, the lunate will appear brighter or whiter in areas on x-rays, which indicates that the bone is dying. To better assess the condition of the lunate, your doctor may also order either MRI scans or computed tomography (CT) scans.
The most common symptoms during this stage are wrist pain, swelling, and tenderness.
In Stage 3, the dead lunate bone begins to collapse and break into pieces. As the bone begins to break apart, the surrounding bones may begin to shift position.
During this stage, patients typically experience increasing pain, weakness in gripping, and limited wrist motion.
If the condition progresses to Stage 4, the surfaces of the bones surrounding the lunate also deteriorate, and the wrist may become arthritic.
Although there is no complete cure for Kienböck's disease, there are several nonsurgical and surgical options for treating it. The goals of treatment are to relieve the pressure on the lunate and to try to restore blood flow within the bone.
In the very early stage of the disease, pain and swelling may be managed with anti-inflammatory medications, such as aspirin or ibuprofen. Immobilizing your wrist for a period of time can help relieve pressure on the lunate, and your doctor may recommend splinting or casting for 2 to 3 weeks.
It is important to monitor any changes in your symptoms during the early stage of Kienböck's disease. If the pain is not relieved with simple treatments or it returns, your doctor may recommend surgery.
There are several surgical options for treating Kienböck's disease. The choice of procedure will depend on several factors, in particular how far the disease has progressed. Additional factors to consider are the patient's activity level, personal goals, and the surgeon's experience with the procedures.
Revascularization involves removing a portion of bone with attached blood vessels from another bone — most often a forearm bone (radius) or an adjacent bone in the hand. This piece of bone with its blood supply is called a vascularized graft. It is inserted into the lunate bone.
To help the bones stay in place during healing, an external fixator may be temporarily applied. This is a metal device that is attached to the outside of the wrist with pins that insert into the bones. It can relieve pressure on the lunate while the graft is healing and restoring a blood supply.
If the disease has progressed to severe arthritis of the wrist, fusing all of the bones of the wrist to the radius will relieve pain and and improve hand function. Although all wrist motion is eliminated in a complete fusion, forearm rotation is preserved.
Kienböck's disease varies considerably in its severity, as well as its rate of progression. Each patient's response to treatment depends on the degree of damage to the lunate and surrounding wrist bones. Some patients may require more than one procedure if the disease continues to progress.
In summary, patients with Kienböck's disease should not expect to ever return to normal wrist function after any treatment. However, treatment gives the greatest opportunity for long-term preservation of function and pain relief.
Source: http://orthoinfo.aaos.org/topic.cfm?topic=A00017
Normal skeletal anatomy of the hand.
Reproduced and modified with permission from JF Sarwark, ed: Essentials of Musculoskeletal Care, ed 4. Rosemont, IL, American Academy of Orthopaedic Surgeons, 2010.
Cause
Stage 1. (Left) This illustration shows a fracture of the lunate during the early phase of the disease.(Right) An x-ray of a patient's wrist during Stage I shows no deterioration of the lunate bone.
Reproduced and adapted with permission from Allan CH, Joshi A, Lichtman DM: Kienböck's disease: diagnosis and treatment. J Am Acad Orthop Surg 2001; 9 : 128-136.
Stage 2. (Left) This illustration shows that the lunate has hardened with more than one fracture line. (Right) The lunate is brighter than the surrounding bones, which indicates that the bone is dying.
Reproduced and adapted with permission from Allan CH, Joshi A, Lichtman DM: Kienböck's disease: diagnosis and treatment. J Am Acad Orthop Surg 2001; 9 : 128-136.
Stage 3. Both the illustration and x-ray image show that the lunate has begun to collapse and several bones in the wrist have shifted out of position.
Reproduced and adapted with permission from Allan CH, Joshi A, Lichtman DM: Kienböck's disease: diagnosis and treatment. J Am Acad Orthop Surg 2001; 9 : 128-136.
Stage 4. (Left) This illustration shows damage to several bones in the wrist. (Right) This CT scan also shows deterioration in the bones of the wrist.
Reproduced and adapted with permission from Allan CH, Joshi A, Lichtman DM: Kienböck's disease: diagnosis and treatment. J Am Acad Orthop Surg 2001; 9 : 128-136.
Treatment
(Left) The three wrist bones that are removed in a proximal row carpectomy, are shaded here. (Right) An x-ray image of a wrist after a proximal row carpectomy.
In a fusion, the bones of the wrist are held together with a combination of a plate, screws, and pins.
Outcomes