Aching joints are common in arthritis. In rheumatoid arthritis, the joint lining swells, invades surrounding tissues, and produces chemical substances that attack and destroy the joint surface.
People of all ages may be affected. The disease usually begins in middle age.
Rheumatoid arthritis usually affects joints on both sides of the body in the hands and feet, as well as the hips, knees, and elbows. Without proper treatment, rheumatoid arthritis can become a chronic, disabling condition.
CauseLigaments and joint capsules become less effective supporting structures. Erosion of the articular cartilage, together with ligamentous changes, result in deformity and contractures. As the disease progresses, pain and deformity increase.
SymptomsPain, morning stiffness, swelling, and systemic symptoms are common. Other rheumatoid symptoms include:
Patients with severe rheumatoid arthritis typically have multiple affected joints in the hands, arms, legs, and feet. Joints of the cervical spine may be involved as well.
DiagnosisRheumatoid arthritis is diagnosed using a medical history and a physical examination. Some of the conditions the doctor looks for include swelling and warmth around the joint, painful motion, lumps under the skin, joint deformities, and joint contractures (inability to fully stretch or bend the joint).
A blood test may reveal an antibody called rheumatoid factor. This is an indicator of rheumatoid arthritis. X-rays can help show the progression of the disease.
The American College of Rheumatology requires at least four of the following seven criteria to confirm the diagnosis:
Although there is no cure for rheumatoid arthritis, there are a number of treatment options that can help relieve joint pain and improve functioning. The treatment plan is tailored to the patient's needs and lifestyle. Rheumatoid arthritis is often treated by a team of health care professionals. These professionals may include rheumatologists, physical and occupational therapists, social workers, rehabilitation specialists, and orthopaedic surgeons.
Medications used to control rheumatoid arthritis fall into two categories: those that relieve symptoms and those that have the potential to modify the course of the disease. Often, they are used together. Aspirin and ibuprofen can help reduce the pain and inflammation of rheumatoid arthritis. Disease-modifying drugs include methotrexate and sulfasalazine and gold injections.
Researchers are also working on biologic agents that can interrupt the progress of the disease. These agents target specific chemicals in the body to prevent them from acting on the joints.
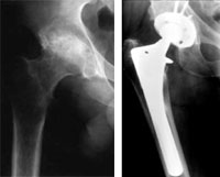
Joint replacement surgery is also an option and is often effective in restoring function.
Source: http://orthoinfo.aaos.org/topic.cfm?topic=A00211
Rheumatoid arthritis of the hand
Reproduced with permission from Abboud JA, Pedro BK, Bozentka DJ: Metacarpophalangeal Joint Arthroplasty in Rheumatoid Arthritis. J Am Acad Orthop Surg 2003; 11: 184-191.
Rheumatoid arthritis is not an inherited disease. Researchers believe that some people have genes that make them susceptible to the disease. People with these genes will not automatically develop rheumatoid arthritis. There is usually a "trigger," such as an infection or environmental factor, which activates the genes. When the body is exposed to this trigger, the immune system responds inappropriately. Instead of protecting the joint, the immune system begins to produce substances that attack the joint. This is what may lead to the development of rheumatoid arthritis.
Feet with rheumatoid arthritis and special shoes used in treatment
Reproduced with permission from Cohen BE, James WC, Lee S, Davis WH, Anderson R: Rheumatoid Foot Deformity, Pathophysiology & Etiology: Incidence. Orthopaedic Knowledge Online
X-ray of hip with rheumatoid arthritis and total hip replacement
Reproduced with permission from Lachiewicz PF: Rheumatoid Arthritis of the Hip. J Am Acad Orthop Surg 1997; 5: 332-338.
Exercise is an important part of a treatment program. The physician and physical therapist may work with patients to develop an exercise program that helps strengthen the joints without stressing them. In some cases, a splint or corrective footwear may be required.