Limb length discrepancy is a difference between the lengths of the arms or legs. Except in extreme cases, differences in arm length do not usually impact how the arms function and do not require treatment. For this reason, this article focuses on differences in leg length.
A discrepancy in leg length will usually become obvious to parents as they watch their child grow and begin to crawl and walk. Some children are born with legs of different lengths. In other cases, illness or injury causes a discrepancy in length to develop over time. While a slight difference in leg length may not cause symptoms, a significant difference can cause a noticeable limp and make it difficult for a child to run and play.
Treatment for a discrepancy depends upon the severity. In many cases, a minor difference in leg length can be evened out by wearing a lift in one shoe. A child with a more significant difference, however, may benefit from surgery to make his or her legs the same length. This can be done a number of ways, but is most often accomplished through a procedure that slows or stops growth in the longer leg.
DescriptionA limb length difference may simply be a mild variation between the two sides of the body. This is not unusual. For example, 32 percent of military recruits in one study had a 1/5- to 3/5-inch difference between the lengths of their legs. This is a normal variation. Greater differences in length, however, can affect a patient's well-being and quality of life.
In most cases, the bones affected by a leg length discrepancy are the femur (thighbone) and tibia (shinbone).
Like the other long bones in the body, the femur and tibia do not grow from the center outward. Instead, growth occurs around the growth plates. Growth plates are areas of cartilage located between the widened part of the shaft of the bone (the metaphysis) and the end of the bone (the epiphysis).
If illness or injury damages the growth plate, the bone may grow at a faster or slower rate than the bone on the opposite side.
A broken leg bone can lead to a limb length discrepancy if it heals in a shortened position. This is more likely to happen if the bone was broken into many pieces. It is also more likely to happen if the skin and muscle tissue around the bone were severely injured and exposed, as occurs in an open fracture.
In a child, a broken bone sometimes grows faster for several years after healing, causing it to become longer than the bone on the opposite side. This type of overgrowth occurs most often in young children with femur (thighbone) fractures.
Alternatively, a break in a child's bone through the growth plate near the end of the bone may cause slower growth, resulting in a shorter leg.
Bone infections that occur in growing children may cause a significant limb length discrepancy. This is especially true if the infection happens in infancy.
Certain bone diseases may cause limb length discrepancy, including:
Other causes of limb length discrepancy include:
In some cases, the cause of limb length discrepancy is "idiopathic," or unknown. This is particularly true in cases involving underdevelopment of the inner or outer side of the leg, or partial overgrowth of one side of the body.
These conditions are usually present at birth, but the limb length difference may be too small to be detected early on. As the child grows, however, the discrepancy increases and becomes more noticeable. In underdevelopment, one of the two bones between the knee and the ankle is abnormally short. The child may also have related foot or knee problems.
Hemihypertrophy (one side too big) and hemiatrophy (one side too small) are rare conditions that cause limb length discrepancy. In patients with these conditions, the arm and leg on one side of the body are either longer or shorter than the arm and leg on the opposite side. There may also be a difference between the two sides of the face. In some cases, the exact cause of these conditions cannot be determined.
SymptomsThe effects of limb length discrepancy vary from patient to patient, depending on the cause and size of the difference.
Patients who have differences of 3-1/2 to 4 percent of total leg length (about 4 cm or 1-2/3 inches in an average adult) may limp or have other difficulties when walking. Because these differences require the patient to exert more effort to walk, he or she may tire easily.
Some studies show that patients with limb length discrepancies are more likely to experience low back pain and are more susceptible to injury. Other studies do not support this finding, however.
Doctor ExaminationParents are usually the first to detect a leg length discrepancy when they notice a problem with the way their child walks. Discrepancies are also sometimes detected when a child undergoes a screening at school for curvature of the spine (scoliosis). It is important to note, however, that leg length discrepancy does not cause scoliosis.
Your doctor will conduct a thorough physical examination and use tests to confirm or diagnosis a discrepancy in length.
During the exam, your doctor will ask about your child's general health, medical history, and symptoms. He or she will then perform a careful examination, observing how your child sits, stands, and moves.
Gait analysis. During the examination, your doctor will closely observe your child's gait (the way he or she walks). Young children may compensate for a limb length discrepancy by flexing their knee or walking on their toes.
Measuring the discrepancy. In most cases, the doctor will measure the discrepancy when your child is standing barefoot. He or she will place a series of wooden blocks under the short leg until the hips are level, then measure the blocks to determine the discrepancy.
X-rays. An x-ray provides images of dense structures, such as bone. If your doctor needs a more precise measurement of the discrepancy, he or she may order x-rays of your child's legs.
Scanograms. This is a special type of x-ray that uses a series of three images and a ruler to measure the length of the bones in the legs. Your doctor may order a scanogram instead of, or in addition to, a traditional x-ray.
Computerized tomography (CT) scans. These studies can provide a more detailed image of the bone and soft tissue in the legs. In some cases, your doctor will use a CT scan to measure the limb length discrepancy.
If your child is still growing, your doctor may repeat the physical examination and imaging studies every six months to a year to see if the discrepancy has increased or remained the same.
Because an x-ray measurement cannot be compared with a CT scan measurement, your doctor will follow your child with the same type of imaging study over time.
TreatmentYour doctor will consider several things when planning your child's treatment, including:
For patients with minor limb length discrepancies (less than 1 inch) and no deformity, treatment is usually nonsurgical in nature. Because the risks of surgery may outweigh the benefits, surgical treatment to equalize small differences in leg length is not usually recommended.
Nonsurgical treatments may include:
Observation. If your child has not yet reached skeletal maturity, your doctor may recommend simple observation until growing is complete. During this time, your child will be reevaluated at regular intervals to determine whether the discrepancy is increasing or remaining the same.
Wearing a shoe lift. A lift fitted to the inside or outside of the shoe can often improve a patient's ability to walk and run. A shoe lift may also relieve back pain caused by a smaller limb length discrepancy. Shoe lifts are inexpensive and can be removed easily if they are not effective.
In general, surgeries for limb length discrepancy are designed to do one of the following:
In children who are still growing, epiphysiodesis can be used to slow down or stop growth at one or two growth plates in the longer leg.
It is a relatively simple surgical procedure that can be performed in one of two ways:
The procedure is performed through very small incisions in the knee area, using x-rays for guidance. Proper timing is critical. The goal is to reach equal leg length by the time growth normally ends—usually in the mid to late teenage years.
Disadvantages of epiphysiodesis include:
In patients who are finished growing, the longer limb can sometimes be shortened to even out the leg lengths.
To do this, the doctor removes a section of bone from the middle of the longer limb, then inserts metal plates and screws or a rod to hold the bone in place while it heals.
Because a major shortening may weaken the muscles of the leg, limb shortening cannot be used for significant limb length discrepancies. In the femur (thighbone), a maximum of 3 inches can be shortened. In the tibia (shinbone), a maximum of 2 inches can be shortened.
Because of their complexity, limb lengthening procedures are usually reserved for patients with significant discrepancies in length.
Lengthening can be performed either externally or internally.
External lengthening. In this procedure, the doctor cuts the bone in the shorter leg into two segments, then surgically applies an "external fixator" to the leg. The external fixator is a scaffold-like frame that is connected to the bone with wires, pins, or both.
The lengthening process begins approximately 5 to 10 days after surgery and is performed manually. The patient or a family member turns the dial on the fixator several times each day.
When the bones are gradually pulled apart (distracted), new bone will grow in the space created. Muscles, skin and other soft tissues will adapt as the limb slowly lengthens.
The bone may lengthen 1 mm per day, or approximately 1 inch per month.
Lengthening may be slower in a bone that was previously injured. It may also be slower if the leg was operated on before. Bones in patients with potential blood vessel abnormalities, such as cigarette smokers, may also need to be lengthened more slowly.
The external fixator is worn until the bone is strong enough to support the patient safely. This usually takes about three months for each inch of growth. Factors such as age, health, smoking and participation in rehabilitation can affect the amount of time needed.
External limb lengthening requires:
Potential risks and complications of external lengthening include:
Internal lengthening. In this procedure, the doctor cuts the bone in the shorter leg, then surgically implants an expandable metal rod in the bone. The rod is completely internal and lengthens gradually in response to the normal movements of the patient's limb.
As the rod lengthens, the bones are gradually pulled apart and new bone grows in the space created. The rod provides stability and alignment to the bone as it lengthens.
Because no external fixator is used in internal lengthening, there is less risk of infection—including the superficial infection that commonly occurs around pin sites.
Internal lengthening avoids the physical and psychological challenges that come with wearing an external fixator; however, it allows for less precise control over the rate of lengthening.
Both internal and external lengthening take several months to complete. Both procedures require:
A doctor experienced in limb lengthening techniques will talk with you about your treatment options and explain the risks and benefits of both internal and external limb-lengthening. Together, you and your doctor will decide which procedure, if any, is best for your child.
If you found this article helpful, you may also be interested in The Limping Child.
Source: http://orthoinfo.aaos.org/topic.cfm?topic=A00259
(Left) A discrepancy most often involves the femur or tibia. (Right) The location of the growth plates at the ends of the femur.
Cause
Causes of limb length discrepancy include:
Wooden blocks may be used to measure a discrepancy in leg length.
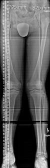
Scanogram of a 13-year-old boy. The measurements at top indicate that his right leg is 30 mm (3 cm) shorter than his left leg.
Reproduced from Song K (ed): Orthopaedic Knowledge Update Pediatrics 4. Rosemont, IL. American Academy of Orthopaedic Surgeons, 2011, p. 225.
X-ray of epiphysiodesis. Metal plates with screws have been placed around growth plates in both the femur and tibia to temporarily restrict growth.
Reproduced from Pierz K: Limb length discrepancy in children. Orthopaedic Knowledge Online Journal 2011; 9(6). Accessed May 2016.
(Left) In this x-ray, a section of bone has been removed to shorten the femur (arrow). A rod has been inserted to hold the bone in place during healing. (Right) After four months, the gap between the pieces of bone has healed.
Reproduced from Song K (ed): Orthopaedic Knowledge Update Pediatrics 4. Rosemont, IL. American Academy of Orthopaedic Surgeons, 2011, p. 226.
X-ray shows lengthening of a child's femur using an external fixator.