A stress fracture is a small crack in a bone, or severe bruising within a bone. Most stress fractures are caused by overuse and repetitive activity, and are common in runners and athletes who participate in running sports, such as soccer and basketball.
Stress fractures usually occur when people change their activities — such as by trying a new exercise, suddenly increasing the intensity of their workouts, or changing the workout surface (jogging on a treadmill vs. jogging outdoors). In addition, if osteoporosis or other disease has weakened the bones, just doing everyday activities may result in a stress fracture.
The weight-bearing bones of the foot and lower leg are especially vulnerable to stress fractures because of the repetitive forces they must absorb during activities like walking, running, and jumping.
Refraining from high impact activities for an adequate period of time is key to recovering from a stress fracture in the foot or ankle. Returning to activity too quickly can not only delay the healing process but also increase the risk for a complete fracture. Should a complete fracture occur, it will take far longer to recover and return to activities.
DescriptionStress fractures occur most often in the second and third metatarsals in the foot, which are thinner (and often longer) than the adjacent first metatarsal. This is the area of greatest impact on your foot as you push off when you walk or run.
Stress fractures are also common in the calcaneus (heel); fibula (the outer bone of the lower leg and ankle); talus (a small bone in the ankle joint); and the navicular (a bone on the top of the midfoot).
A00379F01.jpg" title="The most common sites for stress fractures in the foot are the metatarsal bones." credit="">Many stress fractures are overuse injuries. They occur over time when repetitive forces result in microscopic damage to the bone. The repetitive force that causes a stress fracture is not great enough to cause an acute fracture — such as a broken ankle caused by a fall. Overuse stress fractures occur when an athletic movement is repeated so often, weight-bearing bones and supporting muscles do not have enough time to heal between exercise sessions.
Bone is in a constant state of turnover—a process called remodeling. New bone develops and replaces older bone. If an athlete's activity is too great, the breakdown of older bone occurs rapidly — it outpaces the body's ability to repair and replace it. As a result, the bone weakens and becomes vulnerable to stress fractures.
CauseThe most common cause of stress fractures is a sudden increase in physical activity. This increase can be in the frequency of activity—such as exercising more days per week. It can also be in the duration or intensity of activity—such as running longer distances.
Even for the nonathlete, a sudden increase in activity can cause a stress fracture. For example, if you walk infrequently on a day-to-day basis but end up walking excessively (or on uneven surfaces) while on a vacation, you might experience a stress fracture. A new style of shoes can lessen your foot's ability to absorb repetitive forces and result in a stress fracture.
Several other factors — from your training regimen to your diet — can increase your risk for a stress fracture.Conditions that decrease bone strength and density, such as osteoporosis, and certain long-term medications can make you more likely to experience a stress fracture-even when you are performing normal everyday activities. For example, stress fractures are more common in the winter months, when Vitamin D is lower in the body.
Studies show that female athletes are more prone to stress fractures than male athletes. This may be due, in part, to decreased bone density from a condition that doctors call the "female athlete triad." When a girl or young woman goes to extremes in dieting or exercise, three interrelated illnesses may develop: eating disorders, menstrual dysfunction, and premature osteoporosis. As a female athlete's bone mass decreases, her chances for getting a stress fracture increase.
Doing too much too soon is a common cause of stress fracture. This is often the case with individuals who are just beginning an exercise program-but it occurs in experienced athletes, as well. For example, runners who train less over the winter months may be anxious to pick up right where they left off at the end of the previous season. Instead of starting off slowly, they resume running at their previous mileage. This situation in which athletes not only increase activity levels, but push through any discomfort and do not give their bodies the opportunity to recover, can lead to stress fractures.
Anything that alters the mechanics of how your foot absorbs impact as it strikes the ground may increase your risk for a stress fracture. For example, if you have a blister, bunion, or tendonitis, it can affect how you put weight on your foot when you walk or run, and may require an area of bone to handle more weight and pressure than usual.
A change in training or playing surface, such as a tennis player going from a grass court to a hard court, or a runner moving from a treadmill to an outdoor track, can increase the risk for stress fracture.
Wearing worn or flimsy shoes that have lost their shock-absorbing ability may contribute to stress fractures.
SymptomsThe most common symptom of a stress fracture in the foot or ankle is pain. The pain usually develops gradually and worsens during weight-bearing activity. Other symptoms may include:
See your doctor as soon as possible if you think that you have a stress fracture in your foot or ankle. Ignoring the pain can have serious consequences. The bone may break completely.
Until your appointment with the doctor, follow the RICE protocol. RICE stands for rest, ice, compression, and elevation.
In addition, nonsteroidal anti-inflammatory drugs, or NSAIDs, such as ibuprofen or naproxen can help relieve pain and reduce swelling.
Doctor ExaminationYour doctor will discuss your medical history and general health. He or she will ask about your work, your activities, your diet, and what medications you are taking.It is important that your doctor is aware of your risk factors for stress fracture. If you have had a stress fracture before, your doctor may order a full medical work-up with laboratory tests to check for nutritional deficiencies such as low calcium or Vitamin D.
After discussing your symptoms and health history, your doctor will examine your foot and ankle. During the examination, he or she will look for areas of tenderness and apply gentle pressure directly to the injured bone. Often, the key to diagnosing a stress fracture is the patient's report of pain in response to this pressure. Pain from a stress fracture is typically limited to the area directly over the injured bone and is not generalized over the whole foot.
Your doctor may order imaging tests to help confirm the diagnosis.
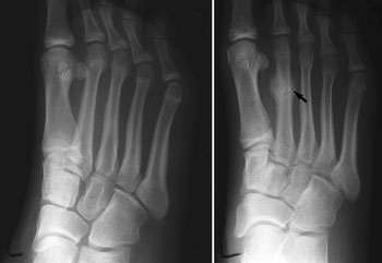
X-rays. X-rays provide images of dense structures, such as bone. Since a stress fracture starts as a tiny crack, it is often difficult to see on a first x-ray. The fracture may not be visible until several weeks later when it has actually started to heal. After a few weeks, a type of healing bone calledcallus may appear around the fracture site. In many cases, this is the point at which the fracture line actually becomes visible in the bone.
A00379F02.jpg" title="(Left) This x-ray of a patient who reported pain in the second metatarsal does not show an obvious stress fracture. (Right) Three weeks later, an x-ray of same patient shows callus formation at the site of the stress fracture." credit="">Other imaging studies. If your doctor suspects a stress fracture but cannot see it on an x-ray, he or she may recommend a bone scan or a magnetic resonance imaging (MRI) scan. Although a bone scan is less specific than an MRI in showing the actual location of the stress fracture, both of these types of studies are more sensitive than x-rays and can detect stress fractures earlier.
TreatmentThe goal of treatment is to relieve pain and allow the fracture to heal so that you are able to return to your activities. Following your doctor's treatment plan will help you return to activities faster and prevent further damage to the bone.
Treatment will vary depending on the location of the stress fracture and its severity. The majority of stress fractures are treated nonsurgically.
In addition to the RICE protocol and anti-inflammatory medication, your doctor may recommend that you use crutches to keep weight off your foot until the pain subsides. Other recommendations for nonsurgical treatment may include:
Modified activities. It typically takes from 6 to 8 weeks for a stress fracture to heal. During that time, switch to activities that place less stress on your foot and leg. Swimming and cycling are good alternative activities. However, you should not resume any type of physical activity that involves your injured foot or ankle-even if it is low impact-without your doctor's recommendation.
Protective footwear. To reduce stress on your foot and leg, your doctor may recommend wearing protective footwear. This may be a stiff-soled shoe, a wooden-soled sandal, or a removable short-leg fracture brace shoe.
Casting. Stress fractures in the fifth metatarsal bone (on the outer side of the foot) or in the navicular or talus bones take longer to heal. Your doctor may apply a cast to your foot to keep your bones in a fixed position and to remove the stress on your involved leg.
Some stress fractures require surgery to heal properly. In most cases, this involves supporting the bones by inserting a type of fastener. This is called internal fixation. Pins, screws, and/or plates are most often used to hold the small bones of the foot and ankle together during the healing process.
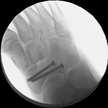
A00379F03.jpg" title="This x-ray of the mid-foot shows screws placed in the navicular bone to keep the fracture in a fixed position during healing." credit="Reproduced with permission from Shindle MK, Endo Y, Warren RF, Lane JM, Helfet DL, Schwartz EN, Ellis SJ: Stress fractures about the tibia, foot, and ankle. J Am Acad Orthop Surg March 2012 vol. 20 no. 3 167-176.">In most cases, it takes from 6 to 8 weeks for a stress fracture to heal. More serious stress fractures can take longer. Although it can be hard to be sidelined with an injury, returning to activity too soon can put you at risk for larger, harder-to-heal stress fractures and an even longer down time. Reinjury could lead to chronic problems and the stress fracture might never heal properly.
Once your pain has subsided, your doctor may confirm that the stress fracture has healed by taking x-rays. A computed tomography (CT) scan can also be useful in determining healing, especially in bones where the fracture line was initially hard to see.
Once the stress fracture has healed and you are pain free, your doctor will allow a gradual return to activity. During the early phase of rehabilitation, your doctor may recommend alternating days of activity with days of rest. This gives your bone the time to grow and withstand the new demands being placed upon it. As your fitness level improves, slowly increase the frequency, duration, and intensity of your exercise.
PreventionThe following guidelines can help you prevent stress fractures in the future:
If you found this article helpful, you may also be interested in Athletic Shoes.
Source: http://orthoinfo.aaos.org/topic.cfm?topic=A00379
The most common sites for stress fractures in the foot are the metatarsal bones.
(Left) This x-ray of a patient who reported pain in the second metatarsal does not show an obvious stress fracture. (Right) Three weeks later, an x-ray of same patient shows callus formation at the site of the stress fracture.
This x-ray of the mid-foot shows screws placed in the navicular bone to keep the fracture in a fixed position during healing.
Reproduced with permission from Shindle MK, Endo Y, Warren RF, Lane JM, Helfet DL, Schwartz EN, Ellis SJ: Stress fractures about the tibia, foot, and ankle. J Am Acad Orthop Surg March 2012 vol. 20 no. 3 167-176.
Recovery