During knee replacement surgery, damaged bone and cartilage is resurfaced with metal and plastic components. In unicompartmental knee replacement (also called "partial" knee replacement) only a portion of the knee is resurfaced. This procedure is an alternative to total knee replacement for patients whose disease is limited to just one area of the knee.
Because a partial knee replacement is done through a smaller incision, patients usually spend less time in the hospital and return to normal activities sooner than total knee replacement patients.
There are a range of treatments for knee osteoarthritis and your doctor will discuss with you the options that will best relieve your individual osteoarthritis symptoms.
In knee osteoarthritis, the cartilage protecting the bones of the knee slowly wears away. This can occur throughout the knee joint or just in a single area of the knee.
Your knee is divided into three major compartments:
Advanced osteoarthritis that is limited to a single compartment may be treated with a unicompartmental knee replacement. During this procedure, the damaged compartment is replaced with metal and plastic. The healthy cartilage and bone, as well as all of the ligaments are preserved.
Multiple studies show that a majority of patients who are appropriate candidates for the procedure have good results with unicompartmental knee replacement.
The advantages of partial knee replacement over total knee replacement include:
Also, because the bone, cartilage, and ligaments in the healthy parts of the knee are kept, many patients report that a unicompartmental knee replacement feels more natural than a total knee replacement. A unicompartmental knee may also bend better.
The disadvantages of partial knee replacement compared with total knee replacement include:
If your osteoarthritis has advanced and nonsurgical treatment options are no longer relieving your symptoms, your doctor may recommend knee replacement surgery.
In order to be a candidate for unicompartmental knee replacement, your arthritis must be limited to one compartment of your knee. In addition, if you have any of the following characteristics, you may not be eligible for the procedure:
With proper patient selection, modern unicompartmental knee replacements have demonstrated excellent medium- and long-term results in both younger and older patients.
Orthopaedic EvaluationA thorough evaluation with an orthopaedic surgeon will determine whether you are a good candidate for a partial knee replacement.
Your doctor will ask you several questions about your general health, your knee pain, and your ability to function.
Location of pain. He or she will be specifically concerned with the location of your pain. If your pain is located almost entirely on either the inside portion or outside portion of your knee, then you may be a candidate for a partial knee replacement. If you have pain throughout your entire knee or pain in the front of your knee (under your kneecap) you may be better qualified for a total knee replacement.
Your doctor will closely examine your knee. He or she will try to determine the location of your pain.
Your doctor will also test your knee for range of motion and ligament quality. If your knee is too stiff, or if the ligaments in your knee feel weak or torn, then your doctor will probably not recommend unicompartmental knee replacement (although you still may be a great candidate for total knee replacement).
You will likely be admitted to the hospital on the day of surgery.
Before your procedure, a doctor from the anesthesia department will discuss anesthesia choices with you. You should also have discussed anesthesia choices with your surgeon during your preoperative clinic visits. Anesthesia options include:
Your surgeon will also see you before surgery and sign your knee to verify the surgical site.
A partial knee replacement operation typically lasts between 1 and 2 hours.
Inspection of the joint. Your surgeon will make an incision at the front of your knee. He or she will then explore the three compartments of your knee to verify that the cartilage damage is, in fact, limited to one compartment and that your ligaments are intact.
If your surgeon feels that your knee is unsuitable for a partial knee replacement, he or she may instead perform a total knee replacement. This contingency plan will have been discussed with you before your operation to make sure that you agree with this strategy.
Partial knee replacement. There are three basic steps in the procedure:
Recovery room. After the surgery you will be taken to the recovery room, where you will be closely monitored by nurses as you recover from the anesthesia. You will then be taken to your hospital room.
ComplicationsAs with any surgical procedure, there are risks involved with partial knee replacement. Your surgeon will discuss each of the risks with you and will take specific measures to help avoid potential complications.
Although rare, the most common risks include:
Hospital discharge. Partial knee replacement patients usually experience less postoperative pain, less swelling, and have easier rehabilitation than patients undergoing total knee replacement. In most cases, patients go home 1 to 3 days after the operation. Some patients go home the day of the surgery.
Pain management. After surgery, you will feel some pain, but your surgeon and nurses will make every effort to help you feel as comfortable as possible.
Many types of medicines are available to help control pain, including opioids, non-steroidal anti-inflammatory drugs (NSAIDs), and local anesthetics. Treating pain with medication can help you feel more comfortable, which will help your body heal and recover from surgery faster.
Opioids can provide excellent pain relief, however, they are a narcotic and can be addictive. It is important to use opioids only as directed by your doctor. You should stop taking these medications as soon as your pain starts to improve.
Weightbearing. You will begin putting weight on your knee immediately after surgery. You may need a walker, cane, or crutches for the first several days or weeks until you become comfortable enough to walk without assistance.
Rehabilitation exercise. A physical therapist will give you exercises to help maintain your range of motion and restore your strength.
Doctor visits. You will continue to see your orthopaedic surgeon for follow-up visits in his or her clinic at regular intervals.
You will most likely resume all of your regular activities of daily living by 6 weeks after surgery.
Source: http://orthoinfo.aaos.org/topic.cfm?topic=A00585
In unicompartmental knee replacement, only one area of the knee is resurfaced.
Description
(Left) A normal knee joint: The medial, lateral, and patellofemoral compartments are shown with red arrows. (Right) An x-ray of a normal knee joint showing healthy space between the bones.
(Left) Osteoarthritis that is limited to the medial compartment. (Right) This x-ray shows severe osteoarthritis with "bone-on-bone" degeneration in the medial compartment (arrow).
An advantage of partial knee replacement over total knee replacement is that healthy parts of the knee are preserved, which helps to maintain more "natural" function of the knee.
Candidates for Surgery
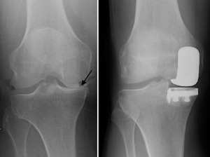
X-rays of a good candidate for partial knee replacement. (Left) Severe osteoarthritis limited to the medial compartment. (Right) The same knee after partial knee replacement.
Your Surgery
A partial knee replacement implant.